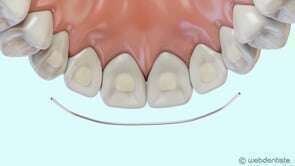
Les traitements orthodontiques pour adultes
Articles similaires
- À la une (4)
- Informations pratiques (6)
- L'équipement du cabinet dentaire (1)
- L'orthodontie (32)
- Les choix esthétiques (11)
- Les dents chez l'adulte (6)
- Les dents de l’enfance à l’adolescence (14)
- Les dents et la santé (22)
- Les gencives (23)
- Les implants (25)
- Les pathologies bucco-dentaires (30)
- Les prothèses (34)
- Omnipratique (193)
- Prendre soin des dents (19)
